![]() |
Robbie's X-Rays |
![]() |
|
||
Nov 23, 2007 These pictures were taken in Iraq or possibly in Germany. The stabilizing bars have been attached above his elbow and about half way down his forearm. You can see the bone chips scattered around in his upper forearm. |
![]() |
|
| Nov 23, 2007 | ![]() |
|
Nov 23, 2007 This picture shows both of the attachments that were used to stabilize his arm. |
![]() |
|
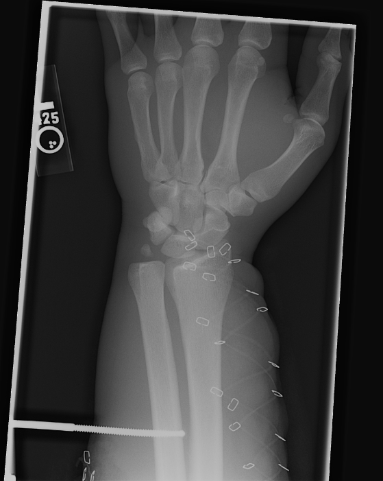
Nov 23, 2007 Here you can see the broken bones in his wrist. |
![]() |
|
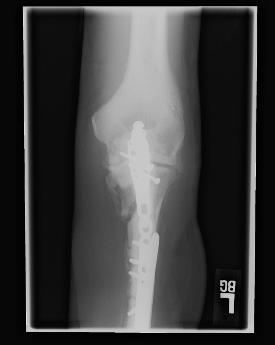
March 13, 2008 This shows the two plates inserted to hold the bone pieces in place. |
![]() |
|
Marh 13, 2008 Here you can see the screws near his elbow. |
![]() |
|
| March 13, 2008 | ![]() |
|