US Flag

Warrior Sgt. Robbie Laux

logo
11/01/2009

Hello Everybody.

It has been almost 2 years since Robbie was wounded in Iraq. He has made remarkable recoveries from (about) 50 surgeries.

Just to catch you up on the last couple of surgeries, the doctors decided that Robbie should have some plastic surgery on that spot on his lower left back where they took the skin graft and some meat to cover up some of the bones and rods in his left arm. There was a hole about the size of a softball back there. It was fixed. Rolling ahead in time..... Robbie, who has always been an active runner, joined several other soldiers in practicing for the Army's 10 K run. While practicing, Robbie tripped and fell. He got up and continued running. The guys behind him yelled to him that he was dripping blood. Robbie ended up in the emergency room. He had ripped most of the stitches out of the plastic surgery site so Robbie spent a week in the hospital while the doctors got that stabilized. Now Robbie changes the bandage himself and the wound seems to be healing very nicely.

Robbie's most recent surgery was done by Dr. Bachelor. Dr. Bachelor connected Robbie's pinkie and ring fingers together so when he closed his hand into a fist, those two fingers would curl in and give him a better grip. Robbie is still practicing and strengthening his grip. You can see in the following picture the length of the incision.; from almost the elbow to the middle of his palm!

Sseveral weeks ago, in the Vacaville Reporter, there was a story about a soldier from Vacaville who was wounded in Afghanistan. This soldier suffered several gunshot wounds while two of his fellow soldiers died. The shooter was an Afghan infiltrator. The Vacaville soldier is now at Walter Reed Hospital. Robbie visited him several times, met his wife and parents and offered the use of his truck should they need transportation.

Knowing Robbie, you will not be surprised to hear that Robbie's attitude is very positive and his enthusiasm is high.

Thank you all for your continued good thoughts.

Jim & Joan

05/18/2009

Hello Everybody.

Robbie had his last surgery for about a year on last Friday.

There are pictures on the website (gross) listed under "wrist" on the website: http://www.mumaugh.com/robbie/

Robbie called to say that he is not in too much pain. He has not spoken to Dr. Bachelor since the surgery so there may be more news upcoming.

The apparent focus of the surgery was to break loose the scar tissue that has been forming for the past year or so and to make sure Robbie's thumb has the proper tendons to allow it to operate. He said his fingers are like little sausages currently but he expects that swelling to decrease over the following week.

As is usual for Robbie, his attitude is very positive and he is anxious to a complete recovery.

I cannot say how proud I am of him. Words simply pale me.

More news as I hear it.

Bye for now.

Jim

04/14/2009

Hello Everybody.

It is the middle of April now and Robbie is home for a couple of weeks to visit and to go to a wedding for one of his high school friends.

Robbie spent 10 days in the hospital after the elbow surgery. While in the hospital Robbie went to occupational therapy 3 times a day just to work on the elbow machine. There was no focus on the hand at this time. The pain was minimal. Robbie went back to the barracks and took one of the elbow machines with him so he didn't have to go to occupational therapy. This lasted for a month. In the mean time he did go to occupational therapy but this was for work on his hand. They worked on extension and flection on the fingers.

Dr. Bachelor is very pleased with the results of the elbow surgery. Currently Robbie's arm extension is from 10 degrees to 130 degrees. Normally he would have zero to 140 degrees. Robbie, too, is very pleased. This is livable. He continues to stretch and may extend to the desired degrees yet.

Dr. Bachelor gave consent for Robbie to restart a general physical conditioning. He is running about 4 miles a day. Work out in the gym with light weights about an hour a day. On Tuesdays he visits a trainer at a swimming pool and swimming laps (about 1200 meters). Right after he is done with the swimming he takes lessons -- in the pool-- with a kayak. He is involved in Team River Running. This is great therapy for his hand. He goes to the Potomac River with a group 3 times a week. They take kayaks and spend 3 to 4 hours paddling up and down the river. The instructor that goes with them shows the group how to control the boat and keeps everybody busy. On Saturdays Robbie spends the entire day at a golf course on the driving range. There is a golf pro that is teaching him how to old the club and make a good swing.

This pretty well fills up Robbie's time.

Robbie is working on writing with his left hand -- not that it was ever great -- but it is improving, none-the-less.

Robbie has his next surgery May 5th. Dr. Bachelor is going to work on the ring finger and the small finger. He will be breaking the adhesions and remove scar tissue. He will also will do a tendon transplant to give Robbie more control of his thumb.

Robbie also brought back some pretty gruesome surgery pictures. I will put them on the website (http://www.mumaugh.com/robbie/)

Thank you to all of his fans!!

Bye for now.

Jim

2/05/2009

Hello Everyone.

It has been a long time since I've sent out an Update and there is a lot to tell.

Robbie came home for Christmas and New Years celebrations. He had a terrific time visiting friends and sleeping in.

Robbie went back to Walter Reed Army Hospital on January 5th. He met with Dr. Bachelor and found out what was planned for his arm.

Robbie's arm near the wrist especially has developed a lot of scar tissue and that leads to adhesions. These adhesions are big source of problems. Besides limiting the movement of the joint, they are blocking the nerve regrowth. Eventually the hand people will go back in and break all these adhesions loose so the nerves can continue to repair themselves. In the meantime Dr. Bachelor is focused on Robbie's elbow.

Robbie had surgery on the elbow yesterday to increase the flection and to give him better extension. Eventually Robbie should be to scratch the back of head. Today he was able to touch his nose with his thumb. With this increase in flection, Robbie will be able to hold utensils --- like a fork. He dearly misses eating with his left hand.

We have talked with Robbie (931 217 5711) a couple of times. He was feeling no pain last night but today is another matter. He has pain medicine but he says that the whole thing is very uncomfortable. Robbie has a device that exercises his elbow so it doesn't get stiff while he is in the hospital. Robbie understands the importance of the surgery and has a great attitude.

More news as it happens.

Best,

Jim & Joan

11/27/2008

Happy Thanksgiving to all.

It has been a year since we saw Robbie on the national news with Don King. If you need to see that, once again, go to the website: http://www.mumaugh.com/robbie/ The link is in the middle column.

We talked with Robbie on the iChat tonight. The whole family was here and everybody rotated in and enjoyed talking with Robbie. We were on with him for about an hour.

Robbie had his latest surgery and Dr. Bachelor is particularly concerned about infection and concerned with Robbie bumping his arm.

I have three pictures for you:

You can see that his flap is much smaller than before. The plastic surgeon took care of that when Dr. Bachelor rerouted a tendon from under his forearm to on top of his forearm. This is expected to allow Robbie to lift his hand and to help with closing his fist.

The above picture shows the area where the tendon transplant was attached. Robbie's wrist is still VERY swollen.

The above picture shows where the tendon was taken from.

I asked Robbie to get picture of Dr. Bachelor and of his OT people so I can put them on the site. I think everybody wants to know who to thank for taking such good care of our warrior!

Thank you all for your prayers. Our sergeant is on the mend!

Bye for now.

Jim

11/13/2008

Hello Everyone

Robbie is already out of the hospital!

He had his 4-hour surgery yesterday. Dr. Bachelor moved some tendons and reattached them. Some of the tendons were pretty severely damaged in the initial blast and Dr. Bachelor had to stretch the ones he found. This turns out to be pretty painful for Robbie. Dr. Bachelor said that Robbie had to not use his left hand for 3 weeks! Dr. Bachelor expects Robbie to be able to make his thumb touch each of his fingers and Robbie will be able to make a fist. The fist won't be as tight as before the injury but it will still be a fist and that means he will be able to hold things.

Robbie will see Dr. Bachelor next Thursday for a follow-up evaluation.

During this surgery, a plastic surgeon did some work on Robbie's flap area so that it has a more normal appearance.

Here is a snapshot of Robbie's arm:

We will be checking in with Robbie after next Thursday's meeting.

Bye for now.

Jim

11/10/2008

Hello Everybody.

Robbie called tonight.

Robbie spent a bit more than a week back in Ft. Campbell, KY. He was flown there in a private jet because the commander wanted Robbie to be at Ft. Campbell when his unit returned from Iraq. Robbie said he had a terrific time. Robbie was the only one from his unit that was injured severely enough to warrant his being sent to Walter Reed.

He met with Dr. Bachelor today concerning the surgery on Wednesday.

The plastic surgeon will do his magic on Robbie's flap area and the other other areas that show the effects of the zillion surgeries.

Robbie expects a 3 hour surgery on Wednesday, probably in the afternoon (eastern time) so we probably won't get an update out to you until Thursday (at the earliest).

Dr. Bachelor will be working on moving tendons from one area to another that would increase Robbie's control of his thumb and of his other fingers.

As you expect, Robbie's attitude is very high. His is laughing, and enjoying life. He fully expects to have a major improvement after the surgery. You have to admire his determination!!

More news, probably on Thursday.

Think good thoughts for our warrior!!

Bye for now.

Jim

10/21/2008

Hello Everybody.

Robbie met with Dr. Bachelor yesterday. Dr. Bachelor told Robbie that he could start the repair on his hand or start the repair on his elbow and wanted to know what Robbie's preference was. Robbie opted for repairs to his hand. The surgeries will move tendons so that Robbie would be able to bend his wrist up and would help him improve his ability to operate his thumb and his fingers.

Dr. Bachelor said that he would probably have a plastic surgeon work on his forearm, including the flap, to make it all look more normal.

Before all of this starts, they will make another of the 3-D model of his arm. The doctors use this to decide what needs to be done, where it needs to be done, and the best access points to do the job. Very hi-tech!

Robbie went on an outing to the Pentagon. He was very impressed. Of course Robbie met a ton of big-wigs and collected more coins! Robbie told of the memorial for the 9/11/01 attack, how the building is laid out and about the history of the building. The bus he was riding in had a police escort -- with flashing lights and sirens --- so traffic was no problem!!

Things are looking up for our Warrior.

More news as I get it.

Bye for now.

Jim

10/06/2008

Hello Everybody.

Robbie is back at Walter Reed Hospital.

He had a terrific leave!! He loved seeing all the people at his party. He still had difficulty comprehending that all those people were at the party FOR HIM. It was very cool.

Robbie did go to San Diego to see his oldest sister and her family for a few days. He returned to Vacaville and then went to Washington D.C. From there, he went to Ohio to visit some friends from Ft. Campbell, Kentucky.

Robbie's unit is due to return from Iraq very soon. The company commander has requested that Robbie fly to Kentucky to be there when the unit arrives. There is a veteran's group that will pay for his flight --- on a private jet (I think) both ways. Robbie still feels allegiance to his unit and he is hoping they will find a job for him AND he is hoping he can get the occupational and physical therapy he needs at Ft. Campbell. All of that remains to be seen.

Dr. Bachelor plans to do some elbow work on Robbie and to "debulk" the flap. Robbie meets with Dr. Bachelor this week.

As you expect, Robbie is in great spirits and is enthusiastic about getting better and getting back to work.

More news when it happens.

Bye for now.

Jim

09/16/2008

Hello Everybody.

Robbie is currently in San Diego visiting his oldest sister and her family. He is due back in Vacaville Wednesday. He will be leaving here on Sunday heading for the east coast. He still has a week or so of his convalescent leave to use visiting friends in Ohio.

The Vacaville Reporter's Melissa Murphy accompanied with a photographer came to the house last Wednesday. Melissa has been a story writer and reporter for the Vacaville Reporter for quite a while. She was a classmate of Sandy's as well so we have known her for years.

She wrote a very nice article about Robbie and it was the front page story on Monday, September 15th. I have copied the article and put it on the website especially for those of you out of the area so you can see it. (http://www.mumaugh.com/robbie/)

More news as it happens.

Bye for now.

Jim

09/07/2008

Hello Everybody!!

Thank you all for coming to our party for the Warrior.

There were so many people welcoming the Warrior back home!!

In a word, terrific!

Sandy (his sister) took a few photos. They are available on the website (www.mumaugh.com/robbie/) under Thank You Robbie in the center of the page.

Robbie will be heading to San Diego to see his oldest sister and her family. From there, he comes back to Vacaville for a few days and then on to Washington. He will still have a few days of leave available so he will be visiting his friends in Ohio.

What a great day this was for Robbie!!

Thank you all!

Jim & Joan

09/03/2008

Hello everybody.

Robbie had trouble getting out of Washington today. There was a huge accident on the freeway so he missed his flight home.

He was rescheduled and Sandy and I picked him up tonight about 10:30 p.m.

We are set for Sunday for the party.

Many people have asked about bringing stuff for the party. Thank you for the offer. If you want to bring something, please do. I think we will have lots of stuff for everybody to eat but calories don't count on Sundays so we can go for the gusto.

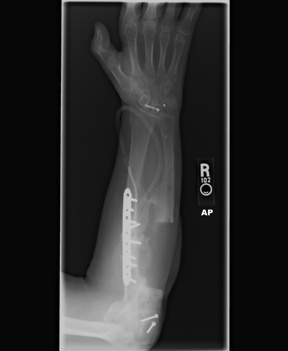
I have a couple of Robbie's latest X-rays. These show the missing 6 or 7 inches of bone in his arm........

We are looking forward to seeing all of you on Sunday!!!!!!!

Thanks to you, Robbie is able to come home for a leave.

Bye for now.

08/26/2008

Hello Everybody!!

Robbie is doing GREAT!

He is doing OT and PT. His pain is gone.

He is coming home for a short visit.

We are having a Welcome Home party for him on Sunday, September 7th. We are thinking of having it from about 1 p.m. to 5 p.m. or so.

We will be serving a light buffet of BBQ chicken and BBQ tritip. We'll probably have some salad. We have beer, wine, soft drinks, and water.

If you are able, we would love to have to come to our house, 244 N. Alamo Dr. Vacaville.

So we can have enough wine and tritip, would you email me or give me a call at (707) 448 8551 to RSVP with the number attending.

We look forward to seeing you all on Sunday Sept 7th.

Bye for now.

Jim

08/18/2008

Hello Everybody.

Robbie called today. He had just left Dr. Bachelor's office.

Dr. Bachelor removed the 10 stitches from his previous surgery where they inserted the plate and fused his left arm in a modified "palm down" position. Dr. Bachelor thought that everything looked good. He wants Robbie to wait until the beginning of September for leave to be sure he is making progress on his physical therapy. He does pool exercises, running, weights, etc.

We are thinking about having the party on Sunday, September 7th. This isn't firm yet but it is our working date. Robbie will come here for a week or so then fly to San Diego to see his sister, brother-in-law and his niece and nephew to spend a few days. He wants to fly to Ohio to see some of his friends and spend about a week there. From Ohio, it is back to Walter Reed for work on his elbow.

More news as we get it.

Bye for now.

Jim

07/31/2008

Hello Everybody.

Robbie had his 4 hour surgery today.

Robbie had a slight allergic reaction to the anesthesia but the doctors were able to take of it without any problem.

Dr. Bachelor put the plate on the radius bone. Robbie's arm was frozen in about half way between neutral and full pronation. Robbie says that he has no pain and that he is pleased with the position of the arm. Dr. Bachelor told Robbie that "the surgery went exactly as planned." and that he was pleased with the results.

He has a wound vac but the nurses think that it will be removed as early as tomorrow and that he will be released late Friday.

We don't know ---- yet --- about when he will be coming home for leave but I will let you all know!

More news as it happens.

Bye for now.

Jim

07/28/2008

Hi Everybody

We saw Robbie on iChat today.

He met with Dr. Bachelor. Surgery is scheduled for July 31st. They will be inserting a new plate on the radius bone. It i likely that the plate will stay in his forearm for the rest of his life. Of course, Dr. Bachelor said he would remove the plate if it caused a problem but he didn't think there would be a problem.

Robbie is currently free of infection.

The "not so good" news is that a bone graft does not look like it would be of any value. To take bone from another part of his body is too risky and the outlook is likely a very slight rotation of the forearm at best. Dr. Bachelor thinks that fusing his forearm in a partial pronation position is the best choice. We don't know when that fusing might occur yet.

Robbie was tested to see how the nerves are doing. The nerves are now about 2 inches from the wrist. Previously the nerves were about 4 inches from the wrist so this is quite an improvement.

Robbie said he has finally come to an understanding as to the seriousness of the injury the sustained. His attitude is very positive. He is a remarkable young man!

More news after the surgery.

Bye for now.

Jim

07/17/2008

Finally I get back to you! Sorry for taking so long to send this email. Robbie is steadily getting stronger. He continues to exercise and stretch his arm as best as he can.

Robbie saw Dr. Bachelor today.

Surgery to put in the plate will be near the end of the month. The plate will keep the bone to in a fixed position because the radius bone is the one that refuses to fully heal. The ulna bone is the one that has the 4 inch piece missing for the time being.

Today, Robbie had a blood test to be sure that no infection has found Robbie. Next he had a CAT scan. From the CAT scan a model will be made of his arm. Dr. Bachelor will use this model to look at a variety of things that can be done to repair the damage to the arm.

We have asked Robbie to request that Dr. Bachelor email Joan and me so we can ask more detailed questions.

Robbie's spirits are high.

Keep thinking the good thoughts!!

More as we know it.

Bye for now.

Jim

07/03/2008

Happy 4th of July to All!

Robbie is doing very well. He is finished with infusions. He expects to have surgery mid-July to have a plate put in to support the radius bone. This bone is refusing to heal into a solid bone and the plate should fix that. The doctor has not decided what to do with the ulna bone yet (This is the one with the missing 4 inches of bone).

After the plate surgery we expect Robbie to come home for a 30 day leave. We will schedule "Welcome Home" party for that time. I will let you know about the party time and date as soon as we know Robbie's leave dates.

Robbie has a new cell phone. His phone number is 931 217 5711.

On the Sgt Laux website (http://www.mumaugh.com/robbie/) I have "More Coins" in the lower right corner. These 11 coins are added to his collection of coins from the Big Cheeses.

The next update will tell about the results of his next surgery.

Keep thinking good thoughts.

Jim & Joan

06/16/2008

Good evening.

We spent about an hour with Robbie on iChat.

He looks great!

Friday is the end of the current infusions.

Next Monday Robbie meets with Dr. Bachelor to find out about the surgery to re-insert a plate to give his radius bone support.

Currently we are expecting Robbie to come home for a leave in the later part of July. When we know more, I will send an invitation to everyone to come by for a glass of wine or a beer, etc. and to say Hi to Robbie. Just the possibility of this happening is exciting!!

More news as it happens.

Bye for now.

Jim

06/06/2008

Good Afternoon.

Robbie called this morning and he was very excited! They removed his cast and inspected his arm. They gave him a hour to get a shower -- a running water type of shower -- before they put on a new cast. Dr. Bachelor is very pleased with what he saw. Robbie has about another 2 weeks of antibiotic infusions left.

Dr. Bachelor said that he would like to put a single plate in his arm on the radius bone early in July. The radius bone is still broken and doesn't seem to be healing so the plate will take care of that problem. Decisions about the ulna bone are on hold for the time being. (The ulna is the one that had the 4-in dead part in it.) He will wait a couple of weeks after the surgery to be sure that no new problems crop up. Assuming that all is well, Robbie will get a chance for leave to come home. We are thinking the later part of July or possibly the beginning of August for his leave.

Maybe there is some light at the end of the tunnel!

Thank you for your good thoughts!!

Bye for now.

Jim

06/02/2008

Hello Everybody.

It has been a long time since I have posted an update. The reason is that in the past 2 weeks or so, there hasn't been much happening.

Robbie did have the cast cut off and the team removed the stitches and then put on a new plaster cast.

The Occupational Therapy staff continue to work on Robbie's fingers but there isn't much else they can do.

Dr. Bachelor has decided to wait to make a decision on the next move until after Robbie is finished with the antibiotic infusions. His current thinking is to put a plate back in to give that radius bone some support.

Robbie is continuing with the treadmill and the stationary back for exercise.

Keep Robbie in your thoughts. He needs all the help he can get!

More news as I get it.

Bye for now.

Jim

05/20/2008

Good afternoon.

Robbie called this afternoon. He is an out-patient once again. We talked for about an hour on iChat.

Robbie has a hard, plaster cast from his arm pit to his hand. He won't be doing much OT for a while. He has scheduled 20 minute sessions to work on his fingers but that is it.

Robbie says he plans to start using the treadmill in physical therapy and/or in the gym that is near his apartment. Since he spent 3 1/2 months in the hospital and now on and off in the hospital, his physical stamina has decreased quite a bit. He said he ran for 10 minutes and was exhausted. We wouldn't want Coach Pop to hear that his starting 2-miler was wearing out like that! He will be working out as often as he can.

Dr. Bachelor thinks that Robbie's arm is starting to heal as it should have in the first place. That 4-inch piece of dead bone seems to have been the source of many of Robbie's infection problems. Dr. Bachelor thinks that he may need to put in another plate to give the bones a better chance to stay immobile while they heal. The plate may end up being permanent. We will just have to see.

Robbie had a new PIC line put in. This is used to give him his antibiotics.

Robbie expects the cast to be on a minimum of 2 weeks. The speed of healing will be the determining factor.

I think you will agree that Robbie looks good and his attitude is very good as well.

Keep your fingers crossed. The Warrior is healing!

Bye for now.

Jim

05/16/2008

Hello Everybody.

Robbie had surgery today (again). He has a splint much like he has had before. They will re-evaluate in a week. They are going to put in a line so he can have infusions. He expects antibiotics to last until June 20th!!

He is not sure how long he will be in the hospital. He is ready to be out, as you might imagine.

His fingers are uncovered so OT will be able to work on him.

More news as it happens.

Bye for now.

Jim

05/14/2008

Hello Everybody.

Robbie had surgery yesterday. When he finally woke up everybody was gone.

Today he talked with the doctors. They are operating again tomorrow. Robbie expects them to do a "wash out" and then they will put on some kind of cast. At some later date the doctors are thinking about doing a bone graft.

Of course, Robbie has daily blood tests. Maybe Dr. Dracula works at Walter Reed?

Robbie isn't in all that much pain. He has trouble describing the sensation. We're guessing that the lack of severe pain is a good sign.

More news as we get it.

Keep thinking those good thoughts.

Bye for now.

Jim

05/09/2008

Good evening.

Robbie just called. He had surgery again today.

Dr. Bachelor found about 4 inches of the ulna bone that had died. This was removed. They did a "wash out" in an effort to remove any infection. Robbie doesn't think that he was "closed up". He is guessing that there will be more surgeries soon. He is ace-bandaged and has the wound-vac. Robbie said his arm was kind of "Gumby" like. He thinks it is more painful than he had expected.

Robbie didn't talk with Dr. Bachelor after the surgery. He doesn't have a fixed appointment, but expects to hear via the OT team any news about "What's next?"

More news as I get it.

Keep thinking the good thoughts --- He still needs them!!

Bye for now.

Jim

05/08/2008

Good morning.

We talked with Robbie this morning.

Dr. Bachelor talked with Robbie in occupational therapy this morning. The news is not good.

Dr. Bachelor thinks that the "infection problems" of the past 3 or 4 months may NOT have been associated with those plates. Dr. Bachelor thinks there are pieces of bone that is dead or dying and those pieces are probably the source of the infection.

Robbie asked about using a rib as a replacement for the bad bone. Dr. Bachelor said that could be done but the down side is that Robbie would lose any chance of rotating his hand after the bone replacement.

The entire team has not given up. They are still exploring every option. Dr. Bachelor asked Robbie what he thought and Robbie's answer was that he had 100% faith in Dr. Bachelor and his surgery team. Robbie understands that they are the ones who have the experience and he defers to them. It certainly is a disappointment and Robbie is "bummed" but Robbie is facing the problem like a the Warrior he is.

I cannot stress how impressed I am with Robbie and his attitude!

Good news is just ahead. I only wish we would start hearing that good news!

Bye for now.

Jim

05/07/2008

Hello Everybody.

I talked with Robbie this evening.

He had surgery today. The removed both of his plates. He has a follow-up surgery on Friday. Robbie thinks they didn't sew him up because of the coming surgery. Robbie can go to OT and PT with the exception of moving his elbow. He has a splint from his palm to his elbow -- just for support of those two healing bones. He is receiving infusions every 6 hours -- made up from 3 different antibiotics. It is probably too soon to know precisely what bacteria is attacking so the doctors are hitting him with everything while the wait for pathology.

They gave Robbie the plates and the screws. He figures he'd make a necklace or something -- a real chick magnet, no doubt.

Bye for now.

Jim

05/05/2008

Hello Everybody.

Well, the word is out. The ulna plate associated with the infection is coming out on Wednesday.

The doctors think the other plate (radius) is okay. Robbie does has some trouble rotating his arm and that is due to the fact that some bone has grown between the ulna and the radius bones! He has 2 of those "bridges". They may nip those out but we will only know for sure in a few days.

The doctors think that his bones have healed enough to protect the other bones. He may not need the "stabilizing bars" !!

Bye for now.

Jim

05/04/2008

Hi Everybody.

Robbie has been out the hospital for 2 weeks then he noticed a blister under the flap. Follow up blood work shows he has, once again, an infection.

Robbie should be seeing Dr. Bachelor tomorrow and we expect surgery very soon. Dr. Bachelor had said that if there was another bout of infection, he would be taking out the plate. I guess that is what will happen but I will let you all know as soon as we hear.

Robbie's attitude is very good. I think that two weeks as an out-patient did a lot for his mental state.

More news as it happens.

Bye for now.

Jim

04/28/2008

Hello Everybody.

GREAT NEWS.

Robbie seems to be free of infection. Dr. Bachelor was very pleased with his progress. He told Robbie to schedule an appointment in another 6 weeks. He wants to keep the plates in as long as possible so those bones can have every chance to heal.

Robbie has 2 new splints. One of them straightens his fingers. The other splint is much more involved. I have a picture of that to attach to this email so you can see what that looks like.

Robbie spent 3 hours in occupational therapy today. He worked on stretching his arm and straightening his elbow. He said that he was able to get a 10 degree improvement in his movement after the therapy!

Here Robbie is showing the steri-strips they put on after removing his stiches.

Robbie's fingers look like fingers. No edema. No sausage fingers!!!! yahoo!!!!

Robbie and Sandy were on iChat with us today. Kathy came over to give me my B-12 shot and chatted with them.

Here is the biggest of Robbie's new splints. There are chords that pull the fingers is the desired directions. YUK.

Thank you all for you good thoughts.

Robbie is getting better and we could not be happier.

Bye for now.

Jim

04/23/2008

Hello Everybody.

Today was Robbie's last day of infusion. The current blood work showed NO INFECTION. Of course, we will have to wait until this last round of blood work is completed to be sure..

Robbie gets his stitches out next Monday.

Maybe I should get the phone number for occupational therapy. He spends most of his time there. He has restarted physical therapy for his shoulder too.

Robbie's pain level is low. It might just be that he is finally showing some signs of healing!! YAHOOOOOO.

More news as it comes.

Bye for now.

Jim

04/18/2008

Hello Everybody.

Robbie, Sandy, Joan and I were all on iChat today.

Robbie is an out-patient. He is on 2 per day antibiotic infusions--- 8 a.m and 8 p.m. EDT. They each last 1 hour.

His phone number is, once again, 202 356 1193. If you try to call, wait until after 6:15 pm our time because he doesn't get back from the infusion until about 9:15 p.m. (his time).

Robbie's fingers look like fingers instead of sausages. The scar on the bottom side of his arm is kind of ugly:

This was a picture I took of his arm this afternoon. He said it itched a little.

Occupational Therapy did a zillion tests today. Robbie lost only a very little mobility. He has a couple of "no feeling zones". One on the back of his hand extending across his wrist an inch or so. Another area is on the underside of his fingers most notably near his little finger. They fully expect the feeling to return to normal in the near future.

Robbie's attitude is excellent. Robbie will see the doctors for more evaluations on April 28th. They really want to give his arm bones as much time to heal as they can before they are required to remove those plates.

It was good to see him again. iChat is very cool!!

More as it happens.

Thanks for the good thoughts.

Bye for now.

Jim


04/14/2008

Hello Everybody.

Robbie called at 8:30 pm -- 11:30 pm his time.

The edema in his arm is currently gone!!

Robbie's pain is in the comfortable range.

He expects to talk with Dr. Bachelor on Thursday.

Robbie is looking to being an out-patient by the weekend.

More news as it happens.

Bye for now.

Jim

04/13/2008

Hello Everybody.

I called Robbie this morning. It turns out that the number that is taped to the phone in his room is wrong.

The proper phone number for Ward 57, Room 32 is: 202 782 9755.

Robbie is able to be up and walk around. His pain is within acceptable limits. He has a "wound vac" attached to his arm. This draws off any excess fluid in the wound site and helps keep the swelling down. When he has less than 10 cc of drainage in a day, he will be moved to out patient status. He already had 10 cc by the phone call this morning so he still has at least a couple of days left as in-patient.

We are anxious to hear the report he gets from Dr. Bachelor. Hopefully that will happen tomorrow.

Bye for now.

Jim

04/12/2008

Happy Saturday.

Robbie just called.

They took him into surgery around noon EDT. They cleaned his arm thoroughly. They were getting things ready for Dr. Bachelor. He is still on antibiotics, as you would expect. He is back in Ward 57, Room 32. I wonder if they ever took his name off of the door?  His phone number is 202 782 9756.

Robbie hasn't spoken with the doctors yet. There were 4 air-evac soldiers in last night. There is no such thing as a quiet night at Walter Reed.

Robbie's arm is wrapped and now lays across his belly. 3 Steps forward -- 2 steps back.

The good news is that Robbie's attitude is surprisingly positive!! He is comfortable but frustrated.

Keep sending the good thoughts his way. Monday will probably tell the tale.

More as it happens.

Bye for now.

Jim

04/11/2008

Hello Everyone

Well, things took a turn for the worse today.

Robbie was at the hospital. Robbie was putting on his brace and noticed "something wet". Blood came pouring out of his arm. His clothes were soaked. He had been on "out patient" status for about 30 minutes so he went to the emergency. The doctor stopped the blood flow. He said it was more fluid than pure blood. He is admitting Robbie, once again. They have x-rays scheduled tonight. They are now talking about removing at least one of the plates. Of course, no decision has happened yet. Weekends have a pretty small staff so it is really a "stop-gap" until Monday and Dr. Bachelor will make the next major decision.

As you might imagine, Robbie's blood pressure was sky high! He considers himself lucky that he was at the hospital when this occurred.

Robbie thinks that it was a build up of fluid as a direct result of the surgery on Monday. It looks like there was pressure building up and then it found the weakest spot -- the new stitches -- and out it came.

Robbie needs more good thoughts. Send them when you can. You know, Robbie is due a little good luck!!

More as we learn it.

Bye for now.

Jim

04/10/2008

Hi Folks.

Robbie called tonight.

The doctors said that they found more infection. The good news is that they are experienced with this particular bug and they have already started their attack. They are checking his blood continuously. He is looking at two weeks of infusion -- and only twice a day.

The pain is manageable but Robbie has morphine and perkoset (sp?)

Robbie is regaining control of some of his fingers. He is able to pick things up and hold them and then drop them when he wants to drop it. He isn't too strong yet but the strength is his next goal. Robbie says he is beginning to get feeling in some of his other fingers. They were talking about making him a new brace that will allow him to practice moving the fingers.

Tons of good news!!

Robbie thinks that he will go back to "out-patient" status tomorrow. He has some oozing from the surgery so they have him wrapped up a bit.

Hopefully he will be an out patient and we will be able to see him on iChat tomorrow or soon thereafter.

The Warrior is still fighting!!! As we knew he would!

More news as it happens..

Bye for now.

Jim

04/07/2008

Hello.

Robbie had another surgery today. He was one of the last surgeries of the day. Robbie has not spoken to any of the doctors since the operation so he really has no idea what, exactly, was done. Nor does he know how long he will be in the hospital.

He expects to talk with some of the doctors tomorrow.

He is on an antibiotic drip once again.

Currently Robbie is in Ward 57, Room 31.

Hopefully we will get a better description of what is happening in the next day or so.

More news as soon as we get it.

Bye for now.

Jim

04/01/2008

Hello Everybody

Robbie had an MRI on Sunday. They gave him a shot of something that would show up on the imaging device. He was in the "tube" for an hour. They told him to take a nap. There was no way that was happening. All the noises! He had to be very still or they would have re do the scan. This was all done because of the physical therapy -- his shoulder.

Robbie's bowling outing was pretty much a bust. Robbie stunk up the alley. Remember, he is left handed --- was left handed. Mr. Gutter-man. We should have a video of that!! We could put it on YouTube. He is trying to practice writing -- Not that it looks like much but it is a help in "waking up the muscles" in his hand.

Robbie is heading back to ward 57 after his surgery on Monday. Dr. Bachelor plans to make the necessary repairs so he has some meat between the plates and his skin.

Robbie is doing lots of stretching exercises with his wrist, fingers and his thumb. He does "scar massages". This is intended to make the scarred skin more pliable.

We did a video chat with him today and he looks great! We talked with him for almost an hour. He looked so good!!

Keep good thoughts in your mind.

More news after Monday's surgery.

Bye for now.

Jim

3/31/2008

Hello All.

Robbie saw Dr. Bachelor again today. The inspected his elbow and found that the plate near his elbow was just beneath the skin. This is not acceptable so Dr. Bachelor has scheduled Robbie for surgery on Monday to make repairs.

Robbie's spirits are still high but, of course, he is disappointed in this set-back. His plan to come home around mid-April might be interrupted. We will know more in a week.

I found out that the x-ray pictures had not be uploaded but that has been remedied. They are on the web site in all their glory. http://www.mumaugh.com/robbie/ the click on "More X-Rays" in the right column.

Keep thinking good thoughts!!

Bye for now.

Jim

3/27/2008

Hello to all the Sgt. Laux Fans!!

Robbie is finally off the infusion of antibiotics. He is taking oral antibiotics. This situation is much nicer for Robbie. He has about 6 hours more per day to allocate than he had before!

Most of his time is spent in occupational therapy and in physical therapy (for his shoulder). He is way down on the use of pain killers. He is getting better.

The OT people had him building a model car in an effort to work on his finer motor skills.

Robbie has a Macintosh iMac computer in his room. It belongs to the Army. I talked with him and now he can use iChat. It was fun to be able to see and talk with him. His screen name is richboyrobbie.

Robbie expects to get an MRI on Sunday and should talk with Dr. Bachelor on Monday. About a week ago, Dr. Bachelor told him that the skin covering his elbow was too thin and that he might fix that. He also said that Robbie's arm had to fully heal before he could repair the tendons and nerves. More news as it happens.

On the Robbie web site (http://www.mumaugh.com/robbie/) I have posted an annotated listing of his x-rays.

Bye for now.

Jim

03/19/2008

Hello Everybody

Robbie called today.

Sunday is the end of the antibiotic infusion. Monday he starts oral antibiotics. He said he would be sending a copy of his x-rays. The ulna is actually growing together properly. The radius still has quite a bit more healing to be done.

They are still working on his range of motion. What a long process that is!!!

Robbie meets with Dr. Bachelor tomorrow. Robbie plans to ask about removal of the wrist pins and removal of one or both of the arm plates. He will also ask about the prospects for a medical leave.

More news as it happens.

Thank you all for your support!!

Bye for now.

Jim

 
03/13/2008

Hello Everybody.

It has been a while since my last update.

As you might expect, not much has changed. Robbie saw Dr. Bachelor today. The doctor thinks that the healing is taking place but it is progressing a bit slower than he expected -- but it is progressing! It looks like that "cleaning out of the plate" may have done the job. Robbie still has some swelling in the forearm. The occupational therapy and physical therapy people are still working him as much as possible.

Robbie asked about getting a bit of leave once the antibiotic infusions have been completed. They said that a leave was a good idea and they would try to make it happen. Robbie thought that near the end of April might be a good time. We will plan a welcome home party. Hopefully many of you will be able to come by. I will give you as much lead time about the date of this as is possible.

Keep thinking those good thoughts. Clearly they are working!!

Bye for now.

Jim

03/05/2008

Hi Everybody.

Robbie started physical therapy. They are working exclusively with his left shoulder. He has what they called a "frozen shoulder". He will continue with his occupational therapy (they deal with his elbow, wrist, and fingers). They are a bit limited by the number of the physical therapists so he only has 3 appointments per week with them and 6 or 8 with occupational therapy. He also meets with a psychologist.

His pain level is down quite a bit. You know this may change when they start working on that "range of motion" problem!

Robbie's time is pretty much all accounted for. He is on the run from one place to another and stopping by the dining hall. I asked him why he had a room in the barracks when he was almost never there. He wondered the same thing.

The Warrior is on the mend!!

Keep thinking good thoughts.

Bye for now

Jim

03/03/2008

Hi Everybody.

Robbie talked with Dr. Bachelor today. The doctor thinks the skin isn't healing fast enough so he is making an adjustment in the operating room. That will happen some time next week. Dr. Bachelor said that "there was an easy fix" for this blister problem. They are giving another week to see what happens. Robbie's white count in his blood is a bit low so the doctors are concerned. They will do another blood test on Wednesday.

Robbie is taking advantage of all the therapy he can. There were two cancelations in occupational therapy so he took them as well. He is trying to get shoulder work with physical therapy because occupational therapy works with his elbow, wrist and fingers.

Robbie's excitement was that a dryer in his barracks over heated. So there were fire trucks all around but things are back to normal.

3 more weeks of the antibiotics 4 times per day!!! argh!!

Bye for now

Jim

03/02/2008

Hi Everybody

Robbie is doing well.

That blister on his elbow broke but there is still a very small blister. Robbie has an appointment to see Dr. Bachelor tomorrow to find out about it. Currently he has a telfa pad covering the area.

Robbie is starting to feel strange things in his fingers. He describes it like when you feel pins and needles after you banged your funny bone. This is really good news. Those nerves are growing back together! Robbie is able to make some of those muscles twitch -- very slight -- but there has been improvement in this area too.

Robbie does a bunch of exercises strengthening his shoulder as well as using his right hand to move the left hand fingers.

Robbie weighed 175 lbs before the explosion. He weighed 135 in January. Today he was 155. Regular meals and a bit of exercise are paying off.

The Warrior is on the mend.

Bye for now

Jim

02/28/2008

Hi Everybody.

Robbie had some less than great news. It appears that there is still some infection. The doctors said his blood pressure was a bit up and his temperature a up a little.

He has a "blister" on his elbow. They are not sure what is going on. Monday, they will do more investigation.

Dr. Bachelor checked everything. He is Robbie's primary physician.

Robbie is doing everything he can do.

There is no question that he is working on recovery --

How could anybody not be proud of such a warrior??

We could not be more proud!

Bye for now

Jim

02/26/2008

Hello Everybody.

We finally heard from Robbie.

The swelling in his hand seems to have moved from his hand to his forearm. At least he can see his knuckles!

Robbie has been spending most of his time in the hospital at one place or another. He had his staples removed. They sprayed his arm with some topical anesthetic so there was no pain. He thought that was pretty nice. The down side is that they missed one staple. Robbie thought he would take it out but found out how much that can hurt. He thinks the occupational people will remove the staple properly tomorrow.

In spite of the lack of news, things seem to getting better. The occupational therapy people are working hard on him. We still don't know what the future has in store for his hand.

They are decreasing his pain medication a little at a time. He will need to be free of pain meds so he can actually leave Washington.

I hope to have another update on Friday.

Bye for now

Jim

02/22/2008

Another error in Robbie's phone number!!!!!

The correct number is 202 356 1193

I do apologize for any problem I caused with that. How does that happen? I have no idea!!

Bye for now

Jim

02/21/2008

Hello Everybody.

Robbie finally was issued a post office mail box so he new address is:

Sgt. Robert Laux
Abrams Hall Box 4108
6900 Georgia Ave. NW
Washington D.C. 20307

His current phone number: 202 566 1193

I will put this address also on the web site (www.mumaugh.com/robbie/ ) so if you need it, you will know where to find it.

Robbie had his 55 stitches removed today. The doctors expected more movement by his fingers than what Robbie could actually do. There still is quite a bit of swelling causing the problem.

Occupational Therapy went fine. More of the same ---trying to get his fingers to move and trying to rub the edema out.

More news as it happens....

Bye for now

Jim

02/18/2008

Hello Everybody.

Robbie was moved from an in-patient to out-patient again today.

His phone number --- that is the number of his room is: 202 356 1193...... of course that may not work but that is the best we have at the moment.

His address is unknown -- even to him.

Currently Robbie has at least 4 different times per day that he is to get some kind of antibiotics! 8 am -- two drips (90 minutes), 4 pm (1 hour), 8 pm, 12 pm. And then he has OT.  ARGH!!!!!

Robbie sounds great. The swelling is down but not gone.

The pain is down, once again. We are thankful for that!!

I will have more news tomorrow ---- assuming Robbie has news.....

Thank you all for your support!!

Bye for now

Jim

02/17/2008

Hi Everybody.

Well, another weekend is coming to a close and not much has changed in the past few days.

The good news is that Robbie is NOT going into surgery on Monday. He doesn't know what he will be doing with himself! All the people he knows work in the operating room. Not many others around since its a weekend.

The swelling is still up but the pain level is down. Robbie said his fingers were like little link sausages on the end of his hand but they don't move because of the swelling.

Robbie saw the movie Jumper last week. He is eating in the main dining facility most of the time. Actually I think he goes there and gets food in to-go containers and brings it back to his room.

We will see what this next week brings.

Bye for now

Jim

02/15/2008

Hello Warrior Fans

Today was a pretty good day for our Warrior.

To catch you up....

The doctors cleaned his arm and scrubbed the inside of his arm in an effort to get rid of the infection. The doctors closed his arm.

Robbie has a lot of swelling but the pain is somewhat less than it has been and it still hurts a whole lot!

Today Robbie went with the occupational therapy people to see a movie and then he went to lunch --- REAL FOOD -- as contrasted from Army food --- there is certainly a difference!!!!!!

Robbie received a load of cards from Vacaville -- with the help of Sandy Rush and a phone call from a golfing friend of ours Loretta McInnis. He had a busy day and is in great spirits. We know that is because of your prayers and good thoughts. Thank you.

Bye for now

Jim

02/13/2008

Hi Everybody.

Robbie had is "wash out" on Monday.

Much pain for Robbie for a few days.

The last wash out was productive. They closed him up, once again.

Maybe there is a prize for the most number of staples in one arm???

Robbie has no control of movement of his left fingers primarily due to the swelling. When we talked with him, he sounded up-beat, and very lucid. While he is taking meds for the pain, he still is working to be as clear headed as can be.

I think he sounds very positive. I suggested that he have cuter nurses. Maybe that isn't the cure.... but it makes the agony easier to endure.

Until Robbie can "operate" his left hand fingers (so he can attach the antibiotics) he will be in the hospital and not be an out-patient.

We know that Robbie is working as hard as possible and we are continually impressed with his efforts.

Thank you all for prayers and good thoughts for his recovery.

More news as soon as it happens.

Bye for now

Jim

02/11/2008

Hello Everybody

Robbie had another day in the operating room.

They looked for and found infection. They cleaned it out and then closed his arm.

Robbie hadn't talked to the doctor when we talked, but his understanding is that they think they have made a significant inroad against the infection.

We shall see.

After Robbie talks with the doctors we may find out is planned next.

So far all is well. We are hoping that this is the case!

Hopefully more tomorrow.

Bye for now

Jim

02/08/2008

Robbie had his "clean out" today. He is suffering!! A lot of pain!

They put ice on his arm and that helped for a while but when we talked he was in a LOT of PAIN!

He is battling back!! That is what a Warrior would do!!

You can not be anything but proud of this Warrior!!

The next "clean out" is Monday. I will have an update Monday

Robbie's phone number is: 202 782 9755 If you get a chance give him a call. The best times to call are 5:00 p.m. to 7:30 p.m. west coast time.

Bye for now

Jim

02/05/2008

Hello Everybody

The doctors are trying to identify the particular bug that is causing the problem. It appears to be living between the metal plate and the bone fragments.

The next "wash out" is set for Friday.

If you have a chance, give Robbie a call at (707) 782 9755. The focus should be on the "power of positive thinking". That has been the subject of our chats as well.

Certainly Robbie is disappointed in his progress but this is simply a hurdle that needs to be crossed. His doctors and nurses are disappointed too but not in Robbie. They are disappointed that the plan for his recovery is not progressing as smoothly as it should.

Thanks for the good thoughts!!

Bye for now

Jim

02/04/2008

Hello Everybody.

We just talked with Robbie.

He went to occupational therapy today and one of the therapists noticed something wrong with the "flap" on Robbie's arm. They took him to the surgeon. The surgeon poked around and found a large pool of "yuk". Robbie is going back into the hospital for surgery to clean the area once again.

Robbie is expecting to be in the hospital a week or less. He said there was no pain beyond the normal.

Dr. Bachelor (Robbie's surgeon) told him that this was a "road bump" and not a serious set-back. We are expecting good news on this in the next few days. I will keep you abreast of the situation.

Bye for now

Jim

02/01/2008

Hi Everybody.

Robbie had a tough day! He had a nerve test. He called it "an awful day". He spent the entire day at the hospital. Some of the time in occupational therapy and some time in the nerve clinic.

The nerve test took 2 1/2 hours. The first half hour he had jolts of electricity to see which muscles reacted to which nerve. Robbie has quite a bit of swelling and this made it much more difficult than it should have been. They switched to needles. They put the needles into his arm about a quarter inch. -- "It hurt like Hell!" Up - Down - searching for nerves. Very painful. They did this 4 times!! The area around the thumb and wrist were the most painful.

Robbie has been on blood thinners and when they pulled the needles out he was squirting blood everywhere. They actually got a ton of information! Robbie realizes how important this is but "He had all he cared to enjoy!"

They are going to give him a do-over in a month or so when the swelling from the skin grafts goes down. Needless to say, Robbie isn't too thrilled by that thought.

Robbie is ready to watch the Super Bowl with the guys so Sunday should be a fun day for him.

Several people have had Christmas cards returned to them that they sent to Robbie. I have seen a few of them and they all had the proper address on them. We think that Walter Reed is simply overwhelmed by the volume of mail that comes into the hospital and that what doesn't get grabbed and delivered the day it arrives just gets sent back. Why would that be? You have to remember that we are dealing with the Army. The Army does some things very well. Marching. Shooting. Mail isn't one of those things. If you have a card you want delivered, drop it off to me and I will box up a bunch of stuff and send that or I will keep it until he gets to come home for a leave.

The next update will probably be on Monday.

Thanks for all your support!!

Bye for now

Jim

01/30/2008

Hello All.

Joan and I are back from warm Mexico.

We talked with Robbie tonight. Today he was officially changed from in-patient to out-patient! He is still doing his antibiotics and will continue with them at least through Feb 22nd. They lengthened his "pic line" so he is able to hook himself up for the antibiotics. This should make my presence in D.C. unnecessary.

Robbie is in a barracks of some sort. He has a new phone number: 202 356 1193.

Robbie expects to be in charge of some of the other soldiers since he is an NCO. That will be very good for him.

Robbie is still going to occupational therapy twice daily.

I think Robbie is making some great strides --- as we all knew he would.

Bye for now

Jim

01/21/2008

Hello Everybody!

We just talked with Robbie. He is doing so well that it is hard to believe that he was on his back 2 weeks ago!

Robbie still has to go to the hospital 4 times a day to get his infusion of antibiotics. This is still a problem for him but so far, he has made it back to his "in patient room" at the hospital for the antibiotics and then returned to his "out patient quarters". Saturday, Robbie went to lunch and the movies -- just like a "real person". Yesterday there was a barbecue in honor of the football playoff games. Robbie attended this and watched the games with all the guys. He thoroughly enjoyed himself.

The yellow scab peeled off yesterday. Now the harvest site is bright red but all the ugly black dried blood is gone. The big hole in his back (it was about the size of a golf ball) is now so small that a pencil eraser would just barely fit! The Warrior is healing!!

The website: http://www.mumaugh.com/robbie/ has new pictures for you to see.
The "Visitors" link shows pictures of President Bush (among others) visiting Robbie. There is also a second set of pictures from the hospital. Some of these are pretty graphic --- not for a weak stomach. Finally there is a link showing the coins that Robbie has received from many of the higher ranking visitors (like Colin Powell, Joint Chiefs, other 2 and 3 star generals, etc.) Maybe Robbie should run for political office? He has all the right connections!!

This is the last Warrior Update until January 31st or possibly February 1st because Joan and I are heading for Mexico. No doubt you have heard that there is an over supply of tequila in Mexico. We will assisting our neighbors to the South with that problem.

Thank you all for your prayers and good thoughts. The Warrior is getting better each and every day!!

Jim & Joan.

01/18/2008

Hello Everybody.

Joan and I are back in Vacaville after a week in Washington D.C.

We arrived at 11:30 pm Wednesday night. Thursday morning I received an email that Robbie was being considered for outpatient status and that would happen as soon as I got back to D.C.!! ARGH!!

To catch you up.....

Robbie has made the transition back from patient to soldier. He does not lay in bed most of the day. He gets up, cleans up and gets dressed in "normal" clothes instead of hospital garb AND he does all of this without assistance! He goes to occupational therapy twice daily. The morning session focuses on his fingers and wrist and the after noon session focuses on his shoulder.

The doctors are biding their time to see how much nerve re-growth takes place. The nerves that tell the fingers to clinch and release etc. are not making good contact at present time but the doctors think 6 months and therapy will have significant impact on the situation. The worst case scenario is that the doctors would have to do a nerve transplant.

Now that Robbie is doing so well, it is time for him to move from the main hospital to the "half-way house". There are several of these on the grounds of the Walter Reed complex. We think Robbie will go to Malogne House. The hang up, and the reason the Army wants me to come back to DC, is that Robbie is doing 6 weeks of antibiotics that are administered via a shunt in his right arm. Currently Robbie is unable to connect himself to the machine that pumps the antibiotics. The Army's solution is to have Jim come and connect Robbie. Robbie's solution is to practice hooking himself up so he doesn't need me to do it. The occupational therapist is working with Robbie on this and ------- with a lot of luck ----- Jim will not have to fly back to DC.

Robbie's address is uncertain at this time as is his phone number. Currently he is scheduled for this weekend in the Malogne House to see how he transitions. The next update is scheduled for Monday after I find out how the weekend experiment goes.

Best,

Jim & Joan

01/15/2008

Hello from Washington D.C.

Robbie made more positive strides once again today. He was able to wash, shave and dress by himself. He walked to Occupational Therapy and spent more than an hour with them working him over. They bent his fingers, his elbow. Twisted his arm. Had him lift his arm, then lower it and then twist it. While he was unable to do these things like he once could, he still made progress.

After this we went to the mess hall and had lunch. Then he attended an introductory recreation class. The purpose of the class is to provide him an opportunity to use his hands and fingers. They have all kinds of activities for the Warriors to do that will keep them out of bed and active. I played a few holes of Wii Golf myself. Very fun!!

When he was done with this he had about an hour rest then back to Occupational Therapy for another hour. Robbie didn't think he made as much progress in this second session. Still, he did very well. The doctors were pleased to see that he was dressed and sitting up when they came by to see how he was doing.

Joan and I will spend a short time with Robbie tomorrow and then we fly back to Vacaville. We will get back late so the next update will be Thursday night.

Thank you all for your continued support or our Wounded Warrior!!

Jim & Joan

01/14/2008

Hello Everybody.

Today was a busy day for Robbie.

First the occupational therapists was in his room exercising his shoulder. Next his doctors took him to recovery and removed his "wound vac" from his arm. The wound vac made it possible that the dressing on his arm didn't need to be changed every day (and several times). Next Robbie ate lunch and had a sponge bath and then WALKED back to occupational therapy. They turned him every way but loose. To close his day he walked back to his room. He did all of this WITHOUT any extra pain meds!!

There can be no question that his effort was painful but he, once again, rose to the challenge.

My guess is that Robbie will walk again tonight.

Robbie's doctors think that his status will change from in-patient to out-patient next week!!

I will report to you again tomorrow night.

Thank you all for your good thoughts and prayers. It works!

bye for now.

Jim & Joan

01/12/2008

Happy Saturday

Robbie is doing well. We did get some disturbing news concerning the infection that I mentioned yesterday.

As I said, nobody is surprised that Robbie does have an infection in his hip and in his arm. They were connected for 1 day less than a month and a perfect place for an infection to start. The doctors weren't surprised. The disturbing thing is that some of the infection is very near the "hardware" that has been inserted into Robbie's arm. They can cure the infection in his hip but the area near the hardware is a serious problem. There isn't any "soft tissue" to transmit the antibiotics to the infection in those areas.

The solution can go a couple of ways. The doctors can supply antibiotics at a very high rate for several months. When Robbie's arm bone has healed enough, the doctors will remove the hardware and then they will continue to attack the infection. The other solution is to that the bacteria dies (read "is not in contact with the bone") before his arm heals. This second is not a very likely scenario. We shall see.

Major notice:

Since Robbie is "infected" he is, once again, in a private room. This changes his phone and mail address as follows:

Robbie's phone number is: 202 782 9755

If you wanted to send a card use this address:

Sgt. Robert Laux
Ward 57 Room 32
Walter Reed AMC
6900 Georgia Ave NW
Washington D.C. 20307-5001

I expect the next update to be on Monday.

Think good thoughts.

bye for now.

Jim & Joan

1/11/2008

Hello All!!

It is Friday night and we have just returned back from Walter Reed.

Robbie is doing terrific!

He had his flap surgery Wednesday. The flap was finally cut from his hip and then applied to one of the areas that needed some skin. The doctors also cut a section of skin from his upper thigh to finish covering the vacant areas of his arm as well. As the doctors had said, the "harvesting" of the skin and the recovery from that "harvesting" would be very painful and, according to Robbie, they weren't wrong. There was a third area on his lower back where they took skin and some muscle. He has a hole the size of a golf ball. All of these areas are healing as they should. In spite of all of this, we saw all areas and there is no question that Robbie wounds are clearly healing. Having skin covering the muscles is a refreshing sight.

As you might expect since Robbie had a gaping wound for 4 weeks, he has some infection in both his arm and his hip. I told him that consorting with loose women caused that.

Robbie is walking farther and farther each day. The doctors were very pleased with his efforts. Robbie may be soon to leave the hospital.

Joan and I were shown how to help Robbie exercise his shoulder. I'm glad I only have one patient!!

The Warrior is walking tall!

bye for now.

Jim

1/09/2008

Hi Everyone.

Robbie had his arm separated from his hip today. He is feeling quite a bit of pain. The pain is from the area where the skin was removed from his thigh. This is pretty much as the doctors had described it would be. (read: very painful) The skin is sending tons of "ouch" messages to his brain.

The doctors want him to walk tomorrow. I am sure he will rise to the challenge.

Joan and I leave Sacto at 6 a.m. for Washington DC. tomorrow morning. We will work with Robbie to be sure his focus is forward instead backward.

I don't know the internet situation we will have tomorrow. I will try to send an update tomorrow night after we see Robbie. If you do not receive an update tomorrow, it is probably because I have no internet connection not because Robbie has had a problem.

Think good thoughts for our Warrior!!

More tomorrow.

Jim

01/05/2008

Hello Everybody

Robbie is doing very well. The doctors said that while Tuesday looks pretty good for surgery it would mean that the doctors will be doing two of these operations in one day and that may be a bit too much. The net result is that maybe Wednesday.

He is walking quite a bit. He plans to walk to the barbershop on Monday. He is looking a lot like Wolf Man Jack.

The next update will be either Tuesday after his return from surgery or Wednesday after his return from surgery. Joan and I plan to leave Thursday morning for Walter Reed so we are there to help him refocus on getting better faster, etc.

We returned from the desert today. So sad. Cold, Rain. ARGH!!!! We had to endure a 10 minute sprinkle during our round of golf yesterday. That toughened us up for today. My tan is already starting to fade!

Bye for now

Jim

01/02/2008

Hi Everybody!

Robbie is doing very well. He is taking longer walks. The doctors removed his "nerve block" which is pain relief method that numbs his arm without doing anything else. The doctors are also changing is bandages twice a day. Next Tuesday is the target date for the separation from the flap.

He had just returned from his second walk when I called. He has to go with a nurse when he does these walks.

When they change the dressings, Robbie'[s pain goes up but it subsides again.

Things are looking good!

Joan and I played golf with Jody and Charlie again today. I'm sure the sunburn will fade when we get home on Saturday. That is when I will send out the next update unless something new happens.

bye for now.

Jim & Joan

12/31/2007

Hello Everybody.

Robbie sends his wish for a great New Year for all his fans!

Today was a classic "Everybody is on holiday" kind of day with one exception. A major in occupational therapy who works on Robbie said "Things are pretty slow." Robbie told her that if she was looking for something to do, she could come back in the afternoon and do a second therapy on his arm. Not only is that good for his arm but it is a real indicator that Robbie is still actively working on getting better!

Today in Arizona, we had to suffer a blistering cold 55 degrees on hole number 1. By hole 3 everybody had their jackets off. We were lamenting that nobody brought sun screen!

The next update will be Wednesday.

bye for now.

Jim

12/29/2007

Hi Everybody.

Joan and I are in Arizona. We are exactly 1,000 miles from nowhere. No cell service! The condo we are staying in is beautiful.

We just talked with Robbie. He had quite a bit of pain so he was only able to walk once today. He thought he might try again this evening.

The doctor came by and said that things are exactly as they should be. Robbie is anxious to get the flap cut loose and get on with healing!

More tomorrow.

bye for now.

Jim

12/28/2007

Hello All.

Robbie had his "clean up" surgery today. The doctors pulled his stitches and inspected the wound area. All looks good in that area. The doctor still thinks that Jan 3rd will be when he cuts loose the flap. The worse case is that he will have that surgery on the following Monday.

The pain level has been much improved. More of a discomfort rather than an constant ache. He has a "sore" on his thigh -- of course he does -- that is where the flap was opened up.

Joan and I are heading to Arizona tomorrow morning. We will still be in contact with Robbie. I plan to send you Warrior Updates as usual -- but if I cannot, please do not despair. Robbie is okay -- Jim is having a problem when he is away from home and away from his normal internet software.

Robbie said the doctors told him that he will have some "extra" skin. Do you think we could sell it on eBay?????

Robbie is getting tons of cards and phone calls. He is so overwhelmed! He simply cannot comprehend that all these people are thanking him for his sacrifices.

"Holy Cow!!!!" "Oh my Gosh!!!!" Quotes from Robbie.

He knows that we all are so proud of him.

Thank you all for your prayers!!

Bye for now

Jim

12/27/2007

Hi Everybody.

Today was a good day.

Robbie's pain level was way down in the morning although it increased in the afternoon.

Robbie will be in the operating room tomorrow to get the wound area cleaned again. They want to be certain that there is no infection and that all is as it should be.

Robbie walked around again today. He did 3 laps around the "general area" today but plans on 4 laps tomorrow.

The Warrior IS GETTING BETTER!!

Bye for now

Jim

12/26/2007

Hello Everybody.

I hope everybody had a great Christmas.

Robbie has continued walking. Things are going well. Of course, most people are gone for the holidays. They removed most of the dressing today. They are allowing the wound area to dry out a little.

His usual occupational therapist was off today. Robbie had a major in today. She worked Robbie pretty hard but he felt that he made some big gains.

Robbie's attitude continues to be very positive. He is looking forward to the surgery on the 3rd.

We talked to the Army about our going to see him in January. The lady there said she received my fax and had already started working to make it happen. What a positive attitude!! Very nice.

Joan and I are heading for Arizona on Saturday and we return the following Friday. I am not sure about sending out Warrior Updates while I am gone. If you don't hear from me, it does NOT mean bad news.

Bye for now

Jim

12/24/2007

Hi Everybody.

Merry Christmas eve!!!

Robbie has been up and walking. He has been to the PX. That was quite a long walk! He has been working his fingers. Mr. Actively Working is doing his job. Everyday he is walking farther than he did the day before.

He said things are pretty quiet on the floor. Christmas eve. What do you think it will be like on Christmas? I'm guessing Robbie will hear the church mice!

This isn't going to be his best Christmas but he will have a much better 2008 than he did 2007!!

From Robbie: Merry Christmas everybody!!

Bye for now

Jim

12/21/2007

Hello.

Robbie went through another Purple Heart Ceremony today. This time Robbie was awake.

The doctors inspected Robbie's arm several times today. What ended up was that Robbie's arm was hurting pretty bad.

They gave him a pretty heavy load of drugs so I think he will sleep most of the night and maybe part of tomorrow.

The doctors took the splint off and put on another type of splint. He will have a bit more movement ability with his fingers. All the areas are looking great.

The weekend is upon us so things will be pretty quiet until Monday. I'll send out the next update after I talk to Robbie on Monday.

Keep sending those good thoughts to Robbie.

Bye for now

Jim

12/20/2007

Hi Everybody.

Robbie met the President today.

President Bush told Robbie that he was proud of him and thanked him for his service to the Country. Robbie said, "This is an honor to meet you, Mr. President." President Bush said, "No. The honor is mine." He asked Robbie how his injury occurred and how was he progressing through the surgeries. Robbie said the President seemed very interested in what he had to say. Robbie was very proud to have meet the President.

The President gave him a "coin". These "coins" are given from a commander. Robbie has received "coins" from a couple of Generals. These coins are prized possessions. Robbie chatted with the President for a few minutes. There were several pictures taken. The staff said the pictures would be sent to me but it will take a few weeks. When the pictures come, I will put them on the web site.

Robbie's pain is under control. Of course it isn't gone, but it is tolerable. The occupational therapist was there early this morning keeping Robbie's fingers moving.

Things are getting better!

Bye for now

Jim

12/19/2007

Hi Everybody.

Robbie is feeling much better. The pain meds are doing their job!

He had the dressings changed today. The swelling is down quite a bit. Robbie is glad that the "wound vacuum" has removed.

The occupational therapist is due again today to "beat up on Robbie". Actually Robbie had the nurses call the therapist to come and work those fingers. He is still actively trying to get better.

Robbie promises some interesting news --- but tomorrow ---

More tomorrow.

Bye for now

Jim

12/17/2007

Hi All

Robbie is doing very well.

Tomorrow Robbie will be getting a new "nerve block" that should help with the pain. The whole point is to make him more comfortable.

The occupational therapist came by said everything looked better than great. He worked on Robbie a little bit. Robbie was able to stand up for a little bit. He has a small bed sore just the base of his spine. They are taking care of that, as you would expect.

His attitude is excellent. He is eating better.

Stand tall and salute the Warrior!!

I'll send the next update on Wednesday.

Thank you for all your prayers and good thoughts.

Bye for now

Jim

12/16/2007

Good Morning.

Wow! Robbie sounds great today. Even better that yesterday. Clearly the pain has been managed better than before.

The drugs from the surgery are still ebbing from his body and fouls up his sense of time passing. He woke up at 2 a.m. thinking he had slept 8 hours instead of 2 or 3. Then back to sleep for an hour or so. On and off during the night. Still, he feels pretty good and was able to eat his breakfast of soft foods.

Robbie said he would love to talk to people on the phone. He really has no need for anything. The Army, the Red Cross and the other groups there at the hospital have been keeping his supplied with everything. The Red Cross gave him the DVD player and there is a supply of the latest DVD movies in the ward that would make Blockbuster jealous.

Robbie's phone number is: 202 782 4747

If you wanted to send a card use this address:

Sgt. Robert Laux
Ward 57 38B3
Walter Reed AMC
6900 Georgia Ave NW
Washington D.C. 20307-5001

The Warrior is busy getting better and he is working hard at that!

Bye for now

Jim

12/15/2007

Hello Everybody

I just talked with Robbie.

Of course he is still full of drugs for the pain, but he is alert and doing better than yesterday. They have him sitting up again and he is more comfortable with that.

There are a couple of young female nurses attending him. I told Robbie to be sure to get a phone number. He said, "Uncle Jim!!". I guess that is a no??

Robbie is getting the very best in care, as he should be. The doctors, nurses, and other staff treat him as though he was the only one in the hospital. It is gratifying to see this respect for our Warrior.

Till tomorrow...

Jim, Joan, and Sandy

12/14/2007

Hello Everybody.

Joan FINALLY got home. Actually Robbie was glad that Joan was there through his latest surgery and, of course, Sandy and I are glad she was there for him but we are glad we have her here with us!!

As it turned out, yesterday, Robbie spent 9 hours in surgery. They fixed his hand, 3 ligaments and multiple bones. They put in several pins and screws to get all the bones in his hand in the proper position.

THEN

the "Flap Team" came into the operating room. They cut a flap of skin from his thigh and attached it to his arm. So, he arm AND his thigh are connected. ARGH!!!! The operating room people had such a problem controlling Robbie's pain that Robbie spent 4+ hours in recovery. Eventually, they called for Joan to come down to work with Robbie!!!

Now things seem to be better. Robbie's medication levels are way up from what they were before. There is no reason that he should be suffering, in this day and age.

There can be absolutely no doubt that Sgt. Robert Laux is facing one of his most formidable challenges of his life! There that also be absolutely no doubt that Sgt. Robert Laux will rise to this challenge. I am so proud of him -- not just because he was wounded and not just because he is actively recovering from those injuries, but because he saw his duty and he did it!

Keep those prayers and good thoughts headed his way!!

Thank you all so much!!

Bye for now

Jim

12/13/2007

Hello Everybody.

Today was a very difficult day for our Warrior.

He spent 8 hours in surgery!!

They fixed his hand. All the ligaments and tightened the screw and added pins. 3 ligament repairs and set all the bones in the hand. Later they will work on the nerve to the hand.

They did the flap surgery to the upper muscle to increase the blood flow. When they remove this (in 3 weeks) they will put on the skin graft to lower muscle. Originally the plan was to do the flap surgery to the lower muscle.

Robbie will not be coming home for Christmas. He won't be leaving the bed for at least a week. He still hasn't returned to his room from the "Recovery ward". All the information I got was from Joan after she talked with some of the doctors during the day.

The next couple of days will full of drugs but by Sunday or Monday Robbie will be able to take phone calls. I will put the phone number in Sunday's update.

Keep the prayers and good thoughts going his way.

Bye for now

Jim

12/12/2007

Hello.

I talked with Robbie a few minutes ago and he continues to be in good spirits, however I can tell that the almost constant pain, all the surgeries and the side effects of all the surgeries are taking a toll.

One good thing happened for Robbie. Another Warrior who had almost the same surgery that Robbie will have tomorrow came by and explained to Robbie all aspects of the surgery. I think that went a long way in helping Robbie to be mentally prepared for the 3-week recovery to this surgery.

Robbie was able to dress himself without help. He walked all over the ward area. He said he was up for about an hour. When he got back to his room he was worn out, dizzy, and his arm was throbbing. The Occupational therapist worked Robbie's shoulder and showed Robbie tricks that allowed him to use different muscles to move his elbow and shoulder.

He is not looking forward to tomorrow's surgery but he knows it can't get over until it gets started.

My next update will be after Robbie calls after the surgery tomorrow.

Bye for now

Jim

12/11/2007

Hi Everybody.

They are going to graft on the underside of his left arm and graft on the upper side of the arm on Thursday.

They will tighten the screw in his wrist.

Robbie was up walking today.

The occupational therapist worked on Robbie's shoulder so it didn't stiffen up.

Jimmy Buffet (country music singer) and the Governor of Georgia were visitors today!!

Keep sending the good thoughts. Our warrior is fighting the good fight!

Bye for now

Jim

12/10/2007

Good evening.

Robbie had surgery today.

The doctors found that one muscle in his forearm was dying back and causing a problem. This muscle problem is also making trouble for the skin graft. The doctors also had a problem with the pinning of the wrist. They had to use screws instead of pins but are not satisfied with the final result and may need more work on this.

The good news is that they have a procedure that has been used many times before to try to fix things. Robbie will undergo this surgery Thursday. He will then not have surgery for 3 weeks while skin is being grown and becoming attached. The whole thing sounds pretty gross but these doctors have had to do this many times before with other warriors.

Joan had planned to return on Wednesday but Robbie asked her to wait until after this surgery. She will return on Friday (as of tonight).

The warrior is being tested but he is mighty and will overcome!

Keep those positive thoughts and prayers heading his way.

Bye for now

Jim

12/09/2007

Hi Everyone.

Everything looks like surgery tomorrow to pin the wrist. We won't know until then.

Robbie's pain level is down.

Robbie said to give out his phone number since "He is always there." 202 782 4747

Keep thinking good thoughts.

Bye for now

Jim

12/08/2007

Hi All.

Robbie still hasn't had his wrist pinned. It looks like maybe Monday for that.

Robbie's mood has much improved. He was very happy to see Aunt Joan!!

Hopefully Joan will be able to talk to the doctor tomorrow. Maybe then we will have a better idea what is in store for his near future.

More news tomorrow night.

Bye for now

Jim

12/06/2007

Hi All.

Robbie's surgery didn't go well today. They found more damage in the wrist that they had expected. Soooooo back into surgery tomorrow. Robbie is disappointed with the news, of course and exhausted from the very long surgery today. They wanted to put in a few pins to hold the bones in place while they healed. Maybe next time.

I told him that there would be setbacks on the road to recovery. He just had be thankful that the doctors noticed the problem and have a plan to make repairs.

It is a good thing that Joan will be there on Saturday!

Until tomorrow...

Bye for now

Jim

12/05/2007

Hello All.

Robbie called tonight.

He talked with the "hand doctor" today. He has some major damage in the wrist and hand and the doctor will use pins to hold the existing bones in the proper position. Eventually he still is expecting to have full mobility. For the next 6 - 8 weeks he won't have any movement in the wrist due to the pins. So surgery tomorrow.

Occupational therapy is still working on his fingers.

Robbie's pain level is down significantly!!! from 4 to 5. Much better than the 7 or 8 or higher from yesterday!! He said his arm felt "swollen' but not throbbing.

He sounds great. He is eating all of his food -- finally.

He will be calling when he can and I will send out a message when it comes.

Bye for now

Jim

 

12/04/2007 --- 2nd update today

Hi Everybody.

The Tuesday update -----

Robbie is still experiencing a lot of pain as a direct result of the Monday surgery. They took him back in to the recovery room and did something that lowered the pain --- but only a bit. On a scale of 1 to 10 (10 high) he feels pain at a level 7! They are still trying to get a balance between pain meds and tolerable pain.

Robbie received 2 more units of blood! (That makes 5 since he arrived at Walter Reed!!)

Robbie did some occupational therapy today. They have his hand wrapped covered across his knuckles so they only worked the exposed finger joints. The therapist is pleased with Robbie's progress thus far.

Robbie was able to dress himself today -- except for tying shoes, of course. He is working at getting better all the time.

He said he would call tomorrow.

Bye for now

Jim

12/04/2007
Hello All.

Monday was not a fun day for our Warrior. He had surgery in the morning. The job was to clean up the wound area once again. They are preparing to do the tendon repair on his wrist. Robbie said that the pain in his arm was as intense as it has ever been. When we talked the pain was still very strong. I expect that the doctors were able to make him comfortable but whenever that happened, it wasn't as soon as Robbie would have liked.

Here is the snail mail address:

Sgt. Robert Laux
Ward 57 38B3
Walter Reed AMC
6900 Georgia Ave NW
Washington D.C. 20307-5001

Actually, Robbie is not in need of anything. The Red Cross and at least 3 other agencies have given him clothes, toiletries, etc. One group gave him a brand new, still in the original box, DVD player and 6 very recent DVD movies! Joan is heading back on Saturday. Robin, Joan's sister, is sending a box of Rice Krispie Treats along with Joan. Sandy brought some left over ones from Thanksgiving and Robbie ate them all even when he didn't eat his regular dinner.

Robbie is still amazed that so many people are so concerned about him. I am sure it is simply overwhelming for him.

I am in the process of remaking the video from Channel 7 KGO. When I do finish it, I will replace the poorer version on the website http://www.mumaugh.com/robbie/

Thanks for all the good thoughts.

Jim, Joan & Sandy

12/03/2007
Hello All.

I haven't talked to Robbie today yet. He was scheduled for surgery so I am hoping to hear from him when he recovers from all the drugs and can call.

Several people have asked for Robbie's address. I will get the address of the hospital and have it in the next update.

I have posted some pictures of Robbie we took this past week: http://mumaugh.com/robbie/

More later.

Bye for now

Jim

 

12/01/2007
Hello All.

Saturday was a quiet day at Walter Reed Army Hospital.

Every day since we have been here Robbie has had visitors. Today Santa Claus came by. I have a picture to post when I get home.

A Lt.. colonel, on leave from Iraq with the 1st Cav, and his wife came by visiting solders. The wounded soldiers are referred to as "Warriors" here. One item that a commander gives to his troops is called a "coin". These are actually very detailed with the company insignia, the company motto, etc. Very classy. A prized possession. Since he was passing these out to the 101st Warriors was an especially big deal. Robbie was honored. Later today, a bunch of NFL officials were expected. We left before they got there. We will go back this evening.

Yesterday a group of businessmen came through. All were Vietnam vets. They were there solely to chat with Robbie and give him a place to tell his story. They gave in a 700 minute calling card as a parting gift.

Joan received some instruction from the occupational therapist so she could help Robbie move his left hand fingers. They are concerned that his joints will get stiff. Very soon they expect to be moving his elbow and wrist.

The other soldier mentioned in the Stars and Stripes article, Sgt. Payne, is also in the same ward. He suffered more sever injuries. I talked with his parents today. Sgt. Payne underwent a 13 hr surgery yesterday and is spending today in icu. His parents said they would be in and out of Robbie's room during our absence.

Every day get better.

We are leaving in the morning.

Jim, Joan, & Sandy

11/30/2007
Hello All.

Robbie is doing very well today. The swelling is going down so his fingers look less like sausages. The occupational therapist started working his fingers already! While painful, Robbie is anxious to work to get better so he is taking it in stride. Next surgery will be Monday or Tuesday.

We expect to be home Sunday.

Robbie had a nice article in the paper. Now all of Vacaville know what he is doing.

Bye for now.

Jim

12/29/2007
Hello All

Robbie had a 5 hour surgery today. Both forearm bones had plates inserted. His hand was too swollen for the surgeon to do the wrist tendon repair and the swelling was too much also for the skin graft. The surgeon was pleased with the results of today's efforts. Certainly not as much as they wanted but they made solid progress. More surgery next week.

We are planning to return Sunday.

More news as it happens.

bye for now

Jim

11/28/2007
Hello All.

Joan, Sandy and I are in Washington D.C. We saw Robbie last night and again today. We will go back in later tonight after he has rested from his busy day!

He was in for surgery this morning very early. They didn't actually repair anything. Their mission today was to clean up his left forearm. They tested the main nerves and found only one that had sever damage. Eventually he will need more work on that damaged nerve but that can wait until the bones are repaired. They tested the muscles and found that they were in surprisingly good shape.

He is scheduled for his next surgery tomorrow morning. They expect to repair the bones in his left arm and repair a ligament in his wrist. If all goes as well as they expect, he will also receive his first skin graft (skin from his thigh). The doctor told him that his pain would be more from the removal of the skin than the bones, etc.

Robbie continues to be in great spirits. He is excited to begin rehab. I have no doubt that he will amaze them by his intensity.

Today, a large group of undergrads from West Point (Army) were at the hospital visiting and bringing cheer. They were excited about the Army/Navy game this weekend.

Keep sending those good thoughts!!

bye for now.

Jim

11/26/2007
Hi Everybody.

Joan, Sandy and I are leaving at 9:40am tomorrow morning to visit Robbie!!

The army has determined that we should visit although his injuries are not considered life threatening -- in fact the diagnosis has not degraded. A representative of the Dept of the Army called and arranged flights from Sacramento.

More information when we return.

Thank you all for the good thoughts and prayers!!

Bye for now

Jim

11/24/2007
Hi everybody.

Robbie just called.

He is at Walter Reed Hospital in Washington D.C. He is doing well. His pain is manageable. His spirits are high. The doctors are trying to get all the bones lined up properly in his left arm. They think he may have a sprained wrist as well.

Robbie said that the liaison officer may be contacting us about the possibility of going back East to see him. There is also a chance that Robbie will be home for Christmas. That would be a great Christmas present!

Robbie said he would call tomorrow with a phone number and address. Currently the whole wing of the hospital is having phone trouble and the fact that this is a holiday slows down the repairs. He was borrowing a cell phone for this call.

More news to follow.

Bye for now

Jim

11/19/2007
It is 1:00 a.m. Robbie just called.

Robbie had his left arm injured in an IED explosion. He was in surgery where he had 2 plates put in his arm. He was very goofy since he was getting morphine every 90 minutes.

He doesn't have many facts to pass on. His ears are still ringing from the explosion. Clearly he was too close to the blast!!

He thinks he will be sent to Frankfurt Germany and then to Walter Reed Hospital for reHab. Robbie thinks that he may not have to return to duty in Iraq. That might be an early Christmas present.

More news will follow when we get it. It is obvious that all the good thoughts and prayers are paying off. Thank you.

Jim & Joan